健診・がん検診のご案内
国民健康保険特定健診・後期高齢者医療健診・がん検診

瀬戸市
瀬戸市ウェブサイトの「健康診査」のページをご覧ください。

尾張旭市
尾張旭市ウェブサイトの「健康・福祉」のページ内「特定健康診査・特定保健指導」、同じ「健康・福祉」のページ内「健康診査」をご覧ください。
社会保険特定健診
外来診療時間内に予約なしで受診できます。各健康保険組合からの案内を精読していただき、受診券をご持参ください。
その他の健診
労働安全衛生法に基づく職場の定期健康診断、雇入時の健康診断も随時受け付けています。団体でのお申し込みは、外来医事課までお問い合わせください。
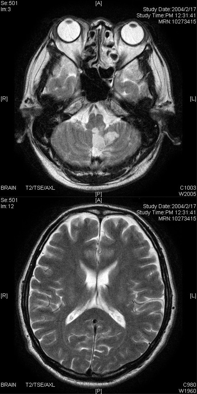
脳ドック
MRI・MRAなどの画像検査により、脳卒中の危険因子や脳腫瘍、認知症などの早期発見を目的とします。自覚症状が出る前に、脳や脳の血管の状態を詳しく検査することは、病気の発症や進行を防ぐことに役立ちます。
予約制にて、TEL:0561-84-3111 外来医事課までお問い合わせ・お申込みください。

Aコース
■頭部MRI・頭部MRA・頚部MRA ■身長・体重・BMI・血圧
■神経内科専門医による診察・結果説明

Bコース
■頭部MRI・頭部MRA・頚部MRA ■身長・体重・BMI・血圧
■血液・尿検査 ■心電図・心臓超音波検査
■神経内科専門医による診察・結果説明
